“我要好好谢谢胸科医院!当时我肺上长了肿瘤,心脏血管也堵了,是胸科的专家把我两大难题都解决了。”日前,上海市胸科医院接到一通特殊的感谢电话。来电者是73岁的王老伯,前不久,肿瘤与心脏病“夹击”,让他一度陷入“先治心还是先治肺”的难题。上海市胸科医院凭借肿瘤心脏病多学科诊疗的综合实力,与心胸整合病房的实践经验,为患者找到了优选治疗方案。
拆除心脏“炸弹”,为外科手术“抢”出时间
不久前,王老伯因肺部肿瘤入住胸科医院,准备接受外科手术。然而术前冠脉CTA检查发现了更为凶险的情况:左前降支近段重度狭窄达90%!这是心脏供血最重要的一根血管,老人随时可能发生心梗甚至猝死。
如果先处理心脏,传统冠脉支架植入后,需要服用抗血小板治疗至少3个月,等待意味着肿瘤进展、转移的风险与日俱增。如果先切肿瘤,术中心脏随时可能“罢工”,患者有生命危险。面对这一两难抉择,胸科医院心内科、胸外科、麻醉科专家进行了多学科会诊,决定采用药物球囊血管扩张成形术解决心脏问题。介入术后不久,王老伯又顺利接受了肺部肿瘤切除术。最近,他来医院复查显示,肺和心脏的状况都很好。


从“两难”到“共治”,心胸多学科协作是关键
依托心胸疾病一体化诊疗的深厚积淀,上海市胸科医院于2025年7月建立心胸整合病房,以围术期、围诊疗期心血管高危患者综合干预为核心。病房收治的患者,包括外科术前心血管高危或已合并心脏病者、内科围治疗期出现心血管问题者,以及多学科会诊后需要心内科介入治疗的其他患者等。
胸科医院院长侯旭敏介绍,胸科医院心胸实体化整合病房是上海地区首家,充分发挥了医院心胸联合诊治特长,实现“心胸同护”。截至今年3月底,医院心胸整合病房已累计收治患者571人次。对于冠脉病变不稳定、心功能差的患者,优先处理心脏问题,保障生命安全;如果心脏病情相对稳定,则优先选择手术避免肿瘤进展。当肿瘤患者遭遇突如其来的心脏“危机”,团队会及时响应、精准决策,做好“守门人”。
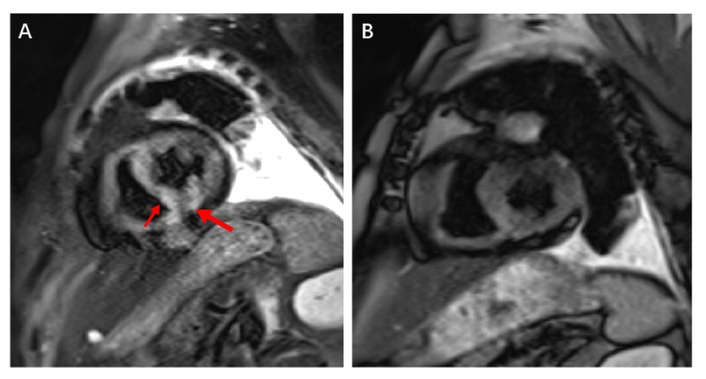
邓阿姨是“入住”过心胸整合病房的患者,她与肿瘤的抗争已持续近十年。但在一次常规治疗前,检查发现她的心肌肌钙蛋白突然显著升高,还出现了严重的室性早搏和短阵室速,随时可能恶化为室颤或心脏骤停。韩文正副主任凭借丰富经验,迅速判断这是免疫检查点抑制剂相关性心肌炎,致死率极高!于是,团队采用进行大剂量激素冲击治疗,用药第二天,患者的心肌酶水平就开始下降,六周后心脏磁共振显示心肌水肿已基本消失。现在,邓阿姨仍继续在医院接受后续的抗肿瘤治疗,病情平稳。

当“肿瘤”遇上“心脏病”,不再是无解的难题。上海市胸科医院将持续深化心胸联合诊疗模式,用个体化的“胸科方案”,为更多患者的生命保驾护航。