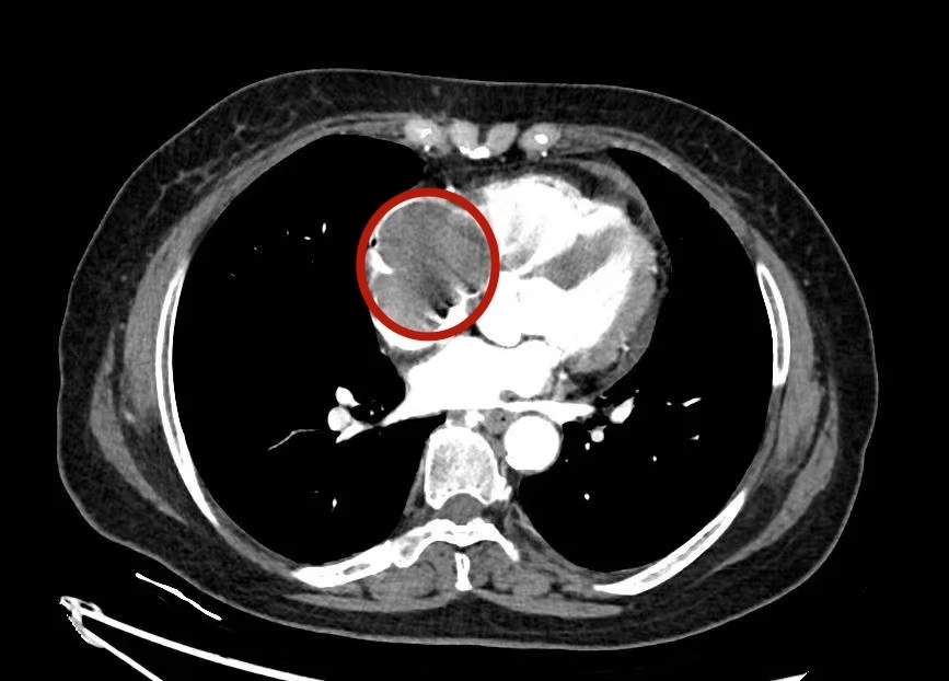
1个月前,柴阿姨突发晕厥,到当地医院检查后发现,导致其晕厥的原因竟然是心脏里长了肿瘤。为进一步明确诊断,她和家人慕名来到上海市胸科医院胸外科就诊。检查结果让医生们心头一紧,患者心脏里肿瘤来自前纵隔,肿块已经像“藤蔓”一样顺着血管长进了心脏,不仅侵犯上腔静脉,还几乎占据了整个右心房!“这种情况非常危险!”胸外科主任医师、科副主任茅腾向家属解释道,“心脏内的瘤栓一旦脱落,可能导致肺栓塞或脑栓塞危及生命。若不尽快手术,任其继续生长,还将导致致命的心脏衰竭。”

面对如此棘手的病情,茅腾与心外科副主任医师李伟立即进行联合会诊。经过全面评估和充分准备,团队制定了细致的手术方案,并与家属进行了深入沟通。手术需要在体外循环下进行,难度和风险都非常大!医生在处理胸腔内和心脏里的肿瘤同时,还要完成大血管重建,对团队的技术水平和配合默契度都是极大考验。
在麻醉及体外循环团队的精准护航下,这场“硬战”开始了。茅腾主任首先进行纵隔内肿瘤切除。肿瘤侵犯的范围很广,与周围组织粘连致密,与双侧隔神经紧贴。隔神经是维持呼吸功能的重要神经,一旦损伤可能导致患者术后呼吸衰竭。凭借精湛的技术,茅腾主任成功将肿瘤从双侧隔神经上完整剥离下来。
随后,李伟接棒,开始处理心脏部分的险情。他娴熟地切开右心房,将其中的瘤栓完整取出,并成功完成上腔静脉的人工血管置换。整台手术环环相扣,仅耗时4个多小时就顺利完成。术后第二天,柴阿姨转回普通病房,目前正在逐步康复中。

茅腾表示,近年来团队通过一站式的胸心联合手术,已救治了诸多此类复杂疑难的患者。大家的目标不仅是“切干净”,还要“保得好”,让患者有质量地活下去。