切除肿瘤,保住移植肾!仁济医院完成全国首例机器人移植肾肾肿瘤手术

当移植肾遇上肿瘤,怎么办?日前,上海交通大学医学院附属仁济医院泌尿科成功完成全国首例机器人辅助移植肾肾肿瘤部分切除术,既完整切除肿瘤,又保住了珍贵的移植肾。

 来自河南的56岁李先生五年前因肾衰竭接受了肾移植手术。术后,李先生的移植肾功能稳定。然而,近期的体检结果却令他如坠冰窟:移植肾内有一个肿瘤。针对这种情况,业内多推荐行传统的肾脏根治性切除术。但如果切除移植肾,患者将不得不再次依赖透析生存。带着最后的希望,李先生慕名来到上海仁济医院泌尿科就诊,希望能保住这个珍贵的肾脏。

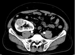
image.png CT检查提示右侧移植肾肿瘤

 面对这一极高难度的病例,仁济泌尿科主任潘家骅迅速集结包括泌尿科权威专家黄翼然教授、薛蔚教授在内的多学科专家团队,全面评估病情,反复推演手术路径,最终制定了“机器人辅助移植肾肾肿瘤部分切除术”的手术方案。

图片1.png        手术由黄吉炜主刀,借助达芬奇机器人手术系统实施移植肾部分切除术。手术团队精准阻断髂血管,有效控制出血,最大限度保留了正常肾组织。术后,李先生恢复顺利,肾功能未受影响,病理检查确诊为肾透明细胞癌。

黄吉炜主任医师介绍,发生于移植肾的肾肿瘤病例较为少见,手术治疗面临诸多挑战。本次高难度手术的成功,充分体现了多学科协作(MDT)模式的优势,特别是泌尿科肾移植团队的紧密合作。

据悉,仁济医院泌尿科在肾肿瘤手术领域长期保持领先地位,年手术量居上海市第一,尤其在复杂肾肿瘤保肾手术、机器人微创手术等方面具有丰富经验和技术优势。


精彩回顾